Close
TAKE AN APPOINTMENT
Send
Take an Appointment
Take an Appointment
SEND
+91 982 222 9911
contact@chandakdental.in
HOME
ABOUT US
SERVICES
TAKE A TOUR
EQUIPMENTS
TESTIMONIALS
ENQUIRY
HOME
ABOUT US
SERVICES
GALLERY
CLINIC PHOTOS
EQUIPMENTS
PRE AND POST TREATMENT
TESTIMONIALS
ENQUIRY
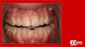
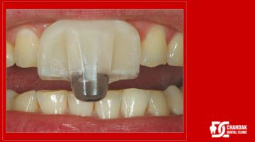
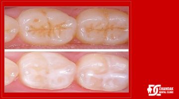
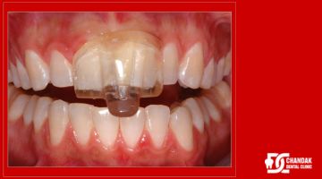
PRE & POST TREATMENT
LASER IN DENTISTRY
IMPLANTS
NTI-TSS SYSTEM
FULL MOUTH REHABILITATION
ORAL CANCER
BRUXISM
BLEACHING
VENEERS
BONDING
CROWNS & BRIDGES
PIT & FISSURE SEALANTS
ROOT CANAL TREATMENT
SPACE MAINTAINERS
WISDOM TOOTH